Create and Rehabilitate

Discover and see the results achieved for many of our patients who trusted us to help them SMILE again. Scroll through our "before and after" photos to see the transformations. This page will be updated regularly as more and more patients trust us to "Create and rehabilitate"

Before and After

“One of our clients, 63 year old lady very poor aesthetics rehabilitated with enigma life cosmetic dentures... she was delighted with the result.”

“55 year old lady very poor previous full upper denture patient wanted B1 bright enigma teeth - complete transformation”

Poor partial upper denture replaced with natural looking enigma partial.

Young patient mid 40,s confidence restored with new full upper cosmetic denture - patient “over the moon “

Patient had worn same denture for 18 years and totally disliked it .. she had several replacements which didn’t work .
Patient was totally delighted with our finished work

Patient wanted irregular “natural” teeth after wearing poor part upper for many years. We are pleased to say he was very happy.

Another bit of clinical and technical magic to replace previous poor partials and restore natural smile line.

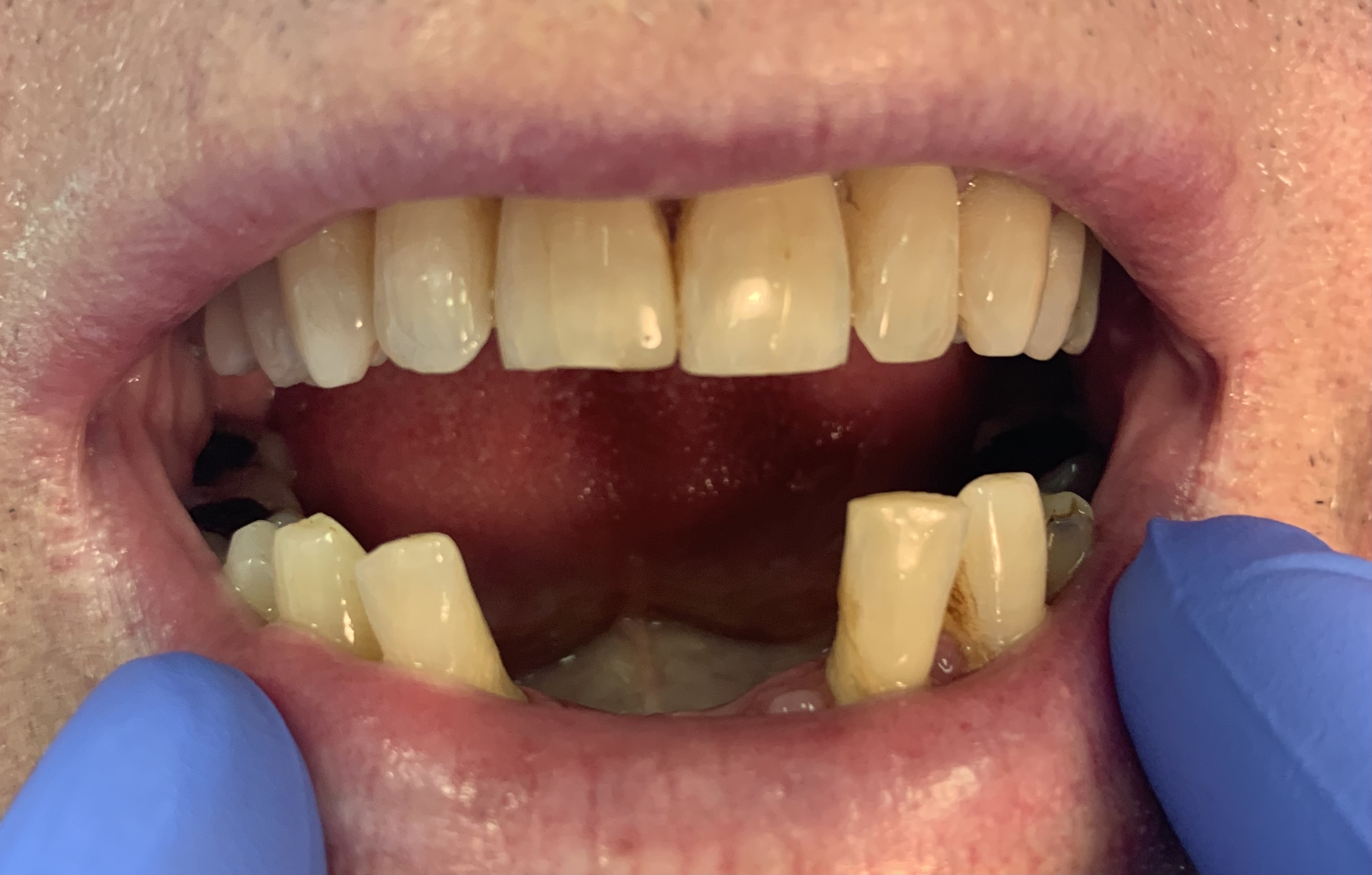
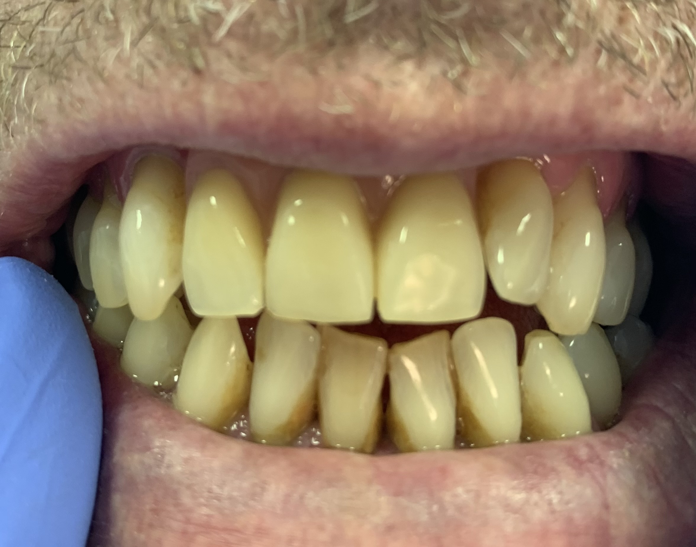
This patient had implants fitted abroad but was distraught with his appearance ... a complete rehabilitation of his bite and transformation of his smile using enigma overdentures on implants. We are delighted to be able to help patients like this regain their confidence

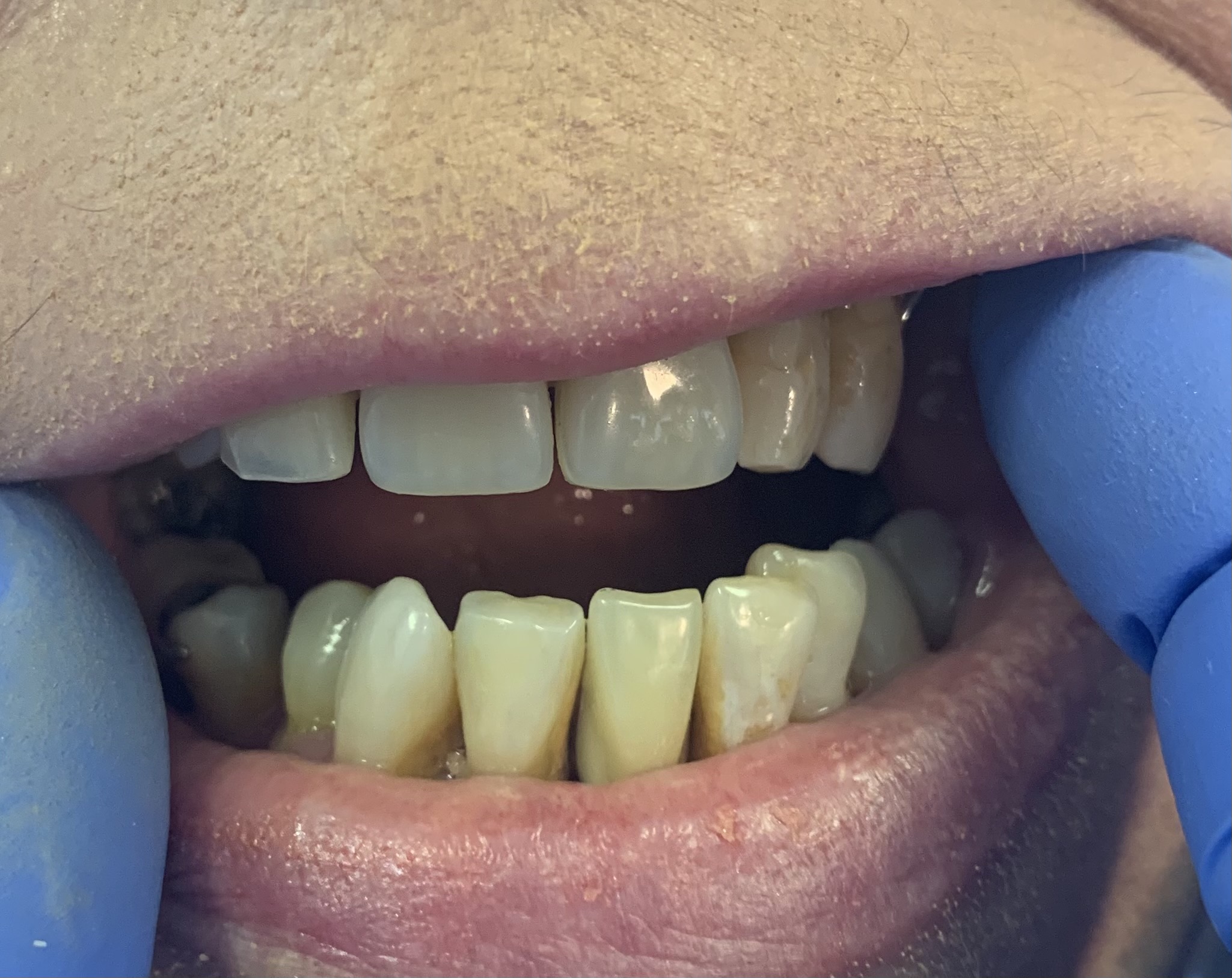
Patient disliked “ big false looking teeth “ .. replaced with enigma cosmetic natural looking upper and lowers on implants ... now she “ can’t stop smiling “.

This lovely lady was horrified with dentures she received elsewhere. Technically and clinically terrible and she could not wear the lower ... we replaced partial upper and lower .. now she’s smiling again .

“Only 1 tooth missing made a huge difference to this patient“

Patient disliked gaps in full upper which she had worn for many years. Complete rehabilitated with enigma denture-no comparison.

This patient was devastated having lost his lower teeth. After a try in to assess aesthetics the patient was quickly smiling again.

Rounder and softer teeth and improved appearance for this patient who grinds a lot .. created and rehabilitated by us here at dental studio.

Dreadful partial upper replaced and aesthetics and function restored for this middle aged patient who couldn’t eat or smile.

Innovative removable flexi partials for patients missing a small number of teeth. Patients love them.

Palate free partial for patient missing her most important 2 front teeth.

Another partial flexi replacing a large palate upper. Fantastic result and aesthetics for the patient.