Covering all Aspects of Prosthetic Dentistry

All Types of Dentures Customised and Repaired

Request a Denture Consultation Online Today.

Professional & Prompt Service in all aspects of

Prosthetic Dentistry

Professional & Prompt Service in all aspects of

Prosthetic Dentistry

Professional & Prompt Service in all aspects of

Prosthetic Dentistry

Professional & Prompt Service in all aspects of

Prosthetic Dentistry

Professional & Prompt Service in all aspects of

Prosthetic Dentistry

Professional & Prompt Service in all aspects of
Prosthetic Dentistry

Here at the Dental Studio, we offer a full range of solutions to patients missing all, or some, of their teeth. All work is carried out in our own Dental Laboratory.

Welcome to Walkinstown Dental Studio – one of Ireland’s foremost Clinical Dental Technicians practice. Here at the Dental Studio we have over 25 years experience in the Dental Profession. We strive to provide each patient with a professional friendly and efficient service in confidential and relaxed surroundings. Our management team have over 40 years of combined clinical and technical experience. We provide a full range of solutions for patients missing some or all their teeth.
Please browse our site for the many services available to you. We hope you can trust us to provide you with professional dental care and become a valued client over the coming years.

Call for a free consultation | Some treatments available on VHI cover

Maurice Petherick Profile

Maurice Petherick Profile

Maurice was one of the first Clinical Dental Technicians to register and practice in Ireland. He first qualified as a Dental Technician in 1988 from the Dublin Dental Hospital and went on to establish a very successful Dental Laboratory. In 2005 he went back to further education. He received the Diploma in Clinical Dental Technology from the Royal College of Surgeons England in 2008.

He also trained in Canada and obtained the Ontario Diploma in Clinical Dental Technology in 2007. The Walkinstown Dental Studio was established in 2007 based on a solid foundation of Clinical and Technical expertise and has provided patients with high quality dental work since then.

He has also gained a wealth of experience in Implant related Dental Work having practiced in both the Blackrock Clinic and the Seapoint Clinic where there was a high demand on aesthetics and fit. He receives a great number of referrals from dentists based on this experience. Maurice takes great pride in his practice and patient satisfaction.

Call for a free consultation |  Some treatments available on VHI cover

Services

Walkinstown Dental Studio offer clients an extensive range of denture services including full cosmetic dentures including Click-Tite Overdentures - on implants - Palate-Free Partial Dentures etc

Ultra Suction

Having issues with wobbly dentures? Ultra suction dentures are the ultimate in denture stabilization. Our ultra suction dentures allow clients to dispense with adhesives while improving overall grip.

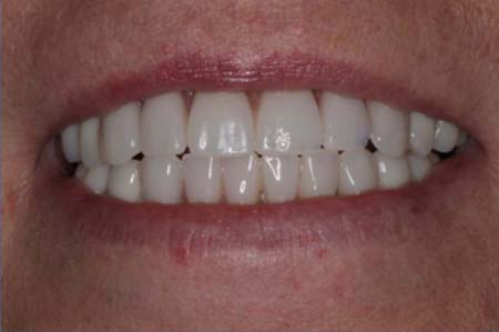
Gallery

Walkinstown Dental Studio offer clients an extensive range of denture services including full cosmetic dentures, Click-Tite Overdentures - on implants - Palate-Free Partial Dentures etc

Before & After

Some of our patients have kindly allowed us to share their before and after pictures. These examples show the huge difference our dentures make to a person’s smile.

Request Consultation

Interested in our dentures? Potential patients can book a consultation with our denture expert. Booking requests can be made through our website.

Blog

Walkinstown Dental Studio’s blog is updated with the very latest information on denture innovations. We also expand on the advantages of some of our denture options.

Blogs

The Advantages of Partial Dentures

Partial Dentures being fitted

We go into detail on the advantages of partial dentures. If you’re wondering if partial dentures are the right solution for your tooth loss we encourage you to read our blog.

The Advantages of Partial Dentures

Dentures on Mini-Implants: The Ultimate in Denture Stabilization

Dentures on Mini-Implants: The Ultimate in Denture Stabilization

Mini-implants are considered one of the best denture stabilization solutions. Read our blog for more information on the advantages of mini-implants.

Dentures on Mini-Implants: The Ultimate in Denture Stabilization

Walkinstown Dental Studio FAQ

Where is Walkinstown Dental Studio located?

Walkinstown Dental Studio is conveniently located in Walkinstown, Dublin, making it easy for patients from surrounding areas such as Crumlin, Drimnagh, Terenure, Templeogue, and Kimmage to access high-quality dental care.

What dental treatments do you offer?

We provide a full range of dental treatments, including routine check-ups, hygiene appointments, fillings, crowns, root canal treatment, teeth whitening, dental implants, Invisalign, veneers, and emergency dentistry.

How often should I visit the dentist?

Most patients should attend a dental check-up every six months to maintain good oral health. However, some patients may need more frequent visits depending on their dental needs and oral hygiene.

Do you offer emergency dental appointments?

Yes, we provide emergency dental appointments for issues such as toothache, broken teeth, lost fillings, swelling, or dental trauma. Contact us as soon as possible if you need urgent dental care.